LEZEC  OBCHOD  DISKUSE  INZERCE  ANKETY  ODKAZY  PRŮVODCE  MAPY  FOTKY  VIDEO 

 jméno

 heslo 

 Registrace   |   Poslední slova před smrtí: Cvaknu si tu erárku...
Hledání cesty

Hledání na Lezci

 Metodika
 Trénink
 Oblasti
 Reportáže
Knihy
Průvodce Elbtal 1 a 2
Mistr skal
Na trh přišla kniha o horách a řekách Dobrodružství v prášku

Závody
SP paralezení Laval FRA (25.10)
Polez!!! (08.11)
EP ledolezení, Bern SUI (22.11)

Žebříček
Cesty:
1.Šindel 12953
2.Votoček 12900
3. 12031
Bouldry:
1.Volf 11503
2.Ondra 11434
3.Trojan 11150
Hory:
1.Sejbal 8423
2.Y 8001
3.Groš 7768

Výsledky
MS v lezení (21.09)
MS paralezení boulder, obtížnost, rychlost (21.09)
SP obtížnost Koper (SLO) (05.09)

Deníčky
5817 lezců
1186140 cest
Nové přelezy:
Schild 7c
Schwert 7b+
Per Voi Vo 7b+
Hurien 7b+/7c
Přepište D 7C
3éme Millé 7c
Rififi Au 7b
Pláč 7C/7C+
Dreamcatch 8B+/8C
Debout Les 8a

Stěny
Bouldering za oponou - Měnín
Na Nivách - Trutnov
Gutovka - Lezecké centrum ve Strašnicích - Praha 10

Prodejny
Outdoor Centrum Rock Point Perštýn - Praha 1
NěcoNavíc.cz - České Budějovice
Outdoor Centrum Rock Point Letňany - Praha 9 - Letňany

Kontakt
REDAKCE:
standalezec.cz
ŠÉFREDAKTOR:
jirkaslezec.cz
INZERCE:
standalezec.cz
IT:
hoplezec.cz

Návraty z Komína návratů

2. března to bude rok, co jsem spadl při lezení v severní stěně Javoráků a po asi osmi metrovém pádu si polámal oba kotníky. Myslím si, že rok odstupu je dost dlouhá doba na malé zhodnocení.

Ten minulý rok nezačal zrovna dobře. Neplánovaný, celkem tvrdý zimní bivak v severní stěně Rognon du Plan nad Šamonicemi, následně druhý den v Šamonicích ukradená peněženka se všemi doklady a jízda bez nich celou Evropou domů.  Po šťastném příjezdu druhý den ukradené přední světlomety v autě a mírné neshody v práci. Tak to asi není zrovna dobrý začátek roku.

V tomto rozpoložení se domlouvám s Tomášem, že už konečně vylezeme Komín návratů v severní stěně Javorového štítu. Tuhle cestu jsem plánoval asi tři roky. Jednou nebyla podmínka, pak sice jo, ale zase až moc velká zima, pak nebyl čas atd.... Tentokrát by to mohlo vyjít. Počasí super, dole pěkně natečený led (nahoru jsem neviděl a jiné informace nebyly), teplota tak akorát na zimní lezení. Co víc si přát?

Ve tři hodiny ráno nás kolega vysazuje u závory ve vstupu do Javorové doliny. Cesta jde přesně podle plánu a po sedmé hodině stojíme pod nástupem. V průvodci a všude, co jsem si o cestě nastudoval, se píše, že je to dlouhá cesta na velmi dlouhý den, takže jsme vybaveni i na případný bivak. Spacáky sice nemáme, ale teplého oblečení je dost a jídlo taky nějaké. Teploty by neměly moc klesat, takže jedna zimou proklepaná noc nás nemůže rozhodit.

Délky ubíhají jedna za druhou a až na malý odskok do hlubokého sněhu při překonávání jednoho z mnoha prahů to všechno jde velmi lehce. Před druhou odpoledne štanduju pod předposlední délkou (nahoru sice zbývají ještě celkem tři délky, ale ta prostřední je spíše taková spojovací, krátká).  Jsme rychlí, máme krásný čas a malujeme si, že sestup do Bielovodské doliny bude ještě za světla, prostě ideální.


Komín návratů 3 tady mi bylo ještě hej

foto by © Archive Aldo


"Má osudná délka je takový škaredý kout, který měl být vyledněný, ale nebyl. Průvodčík říká, že by to mělo vést vlevo od koutu a následně traverz nad něj. Po zhodnocení situace se ale rozhoduju jít přímo koutem. Ta levá varianta nevypadá vůbec dobře a v koutě to snad bude takové bezpečnější. Bohužel nebylo. Nikde není žádná možnost cokoli založit, smyčka, skoba frend.... vůbec nic. Dole asi čtyři metry pode mnou mám jednoho malého, ale bytelného frenda, a pak dlouho nic a to jsem se fakt hodně snažil. Kameny kolem jsou úplně zaoblené a nedrží na nich hroty zbraní ani maček. Dolů už to nejde, jenom nahoru. Cepíny mám zaháknuté v nějaké pofidérní spáře a nohy spíše nejsou. Kouknu nad sebe a asi metr nade mnou vidím trs trávy.  Pokud to půjde ještě alespoň 30 čísel, tak cepín zatnu do toho drnu a jsem z depresí venku. Jen co mi to projde hlavou, už letím. Žádné drncání po skalách, žádné otloukání, letím dozadu volným pádem.  Cítím trhnutí, to jak mě chytil ten spodní frend, pak náraz na nohy, malé otočení a ležím. Hlavou mi jde jediná myšlenka: " Dneska už to nedolezem".

Tomáš na štandu je nějaký neklidný a nechápe, kde jsem se najednou vzal kousek pod ním. Ležím na sněhu a sčítám škody. Trochu mě bolí kotníky a jednu botu mám v nepřirozeném směru. Hlava dobrá, ruky dobré, nohy ke kotníkům taky a páteř je taky funkční. Krom kotníků vše v pořádku. No nic, je třeba odtud co nejdříve zmizet. Po vlastních to ovšem nepůjde.

Rychlý telefonát na záchranku pro vrtuli a hybaj do špitálu. Tady je nutno podotknou, že při mě stáli v tu chvíli všichni andělé strážní, co byli poblíž i opodál a díky jim za to. Dobrý telefonní signál ve stěně, ideální letové podmínky a nikdo jiný čekající na záchranu. Vrtulník byl v dolině do 15-20 minut a za hodinu už jsem čekal v Popradě na letišti na sanitku. Díky kluci slovenští, díly andělé.


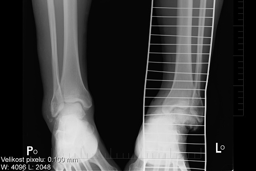
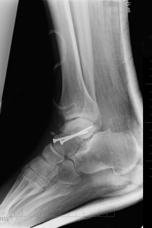
Pak už následují ty obligátní věci jako injekce, rentgeny, operace ... bilance je neslavná. Zlomené hlezno a rozdrcená pata na pravé noze, otevřená zlomenina kotníku s vyhozeným kloubem, zlomené hlezno na levé. To bude asi na dlouho.


Druhý den

foto by © Archive Aldo




Moje nožičky

foto by © Archive Aldo




Moje nožičky

foto by © Archive Aldo


Jestli se vám něco stane v Tatrách a přivezou vás do nemocnice v Popradu, nemějte obavu o kvalitu ošetření a následnou péči. Musím konstatovat, že místní traumatologické oddělení má obrovské zkušenosti s úrazy horolezců a jsou na ně velmi dobře připraveni. Pokud se vás bude někdo z blízkých po úrazu pokoušet co nejdříve dostat do republiky s tím, že tam doma to budete mít určitě kvalitnější, tak ho klidně pošlete někam. Věřte, že  v Popradě to budete mít na velmi vysoké úrovni ... a nejenom lékařskou péči, ale i po lidské stránce. Byl jsem tam 3 týdny a nemůžu říct jediné slůvko proti.

Takže mám dobře ošetřené zlomeniny a co dál? Doktor říká, že se na ně minimálně tři měsíce nesmím postavit a pak se budu zase znova učit chodit. Ze třech měsíců budou sice nakonec čtyři, ale kam spěchat když víte, že to celé bude trvat nejméně rok.


Měsíc po pádu

foto by © Archive Aldo



Priority se dramaticky mění a z "pojedeme tam a tam“ je najednou „je třeba posilovat to a to". Rehabilitovat kotníky je jedna věc, na to jsou sestřičky a masérky, ale co zbytek těla?  Doktor pořád vyhrožuje trombózou a já nevím čím, když se nebudu hýbat. Na rehabilitaci potkávám kluka, co se mnou ležel v Popradu se zlomeným krčkem a chudák si tu trombózu vesele úžíval. Jak se ale hýbat, když sedíte na vozíčku?


2 měsíce po pádu

foto by © Archive Aldo



Doma zjišťuji, že se vlastně můžu hýbat, a to docela svižně, po kolenou. Jakmile mi po měsíci sundali sádry, rázem se mi otevírají široké obzory, a to i když bydlím ve čtvrtém patře bez výtahu. Najednou to jde na rotoped, na záchod, na balkón, na pívo ... skoro všude. Přece nebudu sedět doma na zadku, když nemusím do práce.  Dolů po schodech mi to jde rychleji než manželce, která mi musí snést vozíček a zahrádka s pívem je přece tak blízko. Ještě nemůžu ani chodit, ale na rotopedu už mám najeto více jak 500 kiláků. Trombóza se nekoná.

Nejblbější se na tom všem nakonec ukázala nepřipravenost společnosti na tento druh přesunu. Dolů z domu jsem se dostal vlastní silou, po cestách se to dalo, ale najít hospodu s veckem, kam bych mohl i s vozíčkem, bylo skoro nemožné a plazte se po kolenou na našich krásných euro záchodech.  Chtěl bych touto cestou poděkovat těm několika restauracím, které na invalidy pamatují.

Po čtyřech měsících mi doktor povolil vstát a pomalu začít chodit. První postavení a následný krok bylo peklo. Po čtyřech týdnech jsem odložil berle a vytáhnul z garáže hůlky. Ty jsem asi po měsíci schoval a od té doby chodím bez opory. (Nicméně to, že se budu znova učit chodit, byla pravda. Po roce dělám už ledacos, ale pořád se vlastně učím správně chodit. )  Jakmile to šlo, nasednul jsem na kolo a vyrazil na cesty. Na kole to bylo paradoxně lepší než pěšo, takže už za dva měsíce, co jsem se postavil, jsem brázdil na bajku cestičky v Beskydech kolem Lysé hory a na vrcholu jsem byl poprvé na kole. Pěšky bych to v té době ještě nedal.


Srpen, to už mi bylo hej. Chodit to ještě moc nešlo, ale na kole to šlapalo

foto by © Archive Aldo


Teď je začátek Února a já chodím, jezdím na kole, lyžuju, skialpuju a už jsem i lezl. Sice na tom bezpečnějším konci lana ale lezl.  Není to úplně ideální, protože ty kotníky po námaze vždycky cítím, a to dost, Nicméně jsem na beton přesvědčený, že nadcházející letní sezóna bude zase alespoň trochu lezecká.


Už je to dobré

foto by © Archive Aldo


Děkuji všem andělům strážným, kteří při mě stáli, letecké záchrance v Tatrách, lékařům a sestřičkám v popradské nemocnici a všem blízkým, kteří mi pomáhali překonat ten poněkud zvláštní rok.

Článek jsem napsal jako vzpruhu pro ty, kterým se stalo něco podobného. A aby s výhledem na nový začátek, neházeli flintu do žita a zabrali.

www.horskesporty.cz

Aldo   [úpravy] 10:14 14.02.2015Tisk 

Reklama:

Komentáře

     
...nové příspěvkyNový komentář 

 :-)12:03:50 15.02.2015
Moc pěkné, něco takového jsem jako vzpruhu akorát potřeboval. Díky!
m.odpovědět 

 poděkování14:44:24 15.02.2015
Díky za moc hezky napsaný článek. Přeji ti plné zotavení a držím palce do následující lezecké sezony!
drbicodpovědět 
 Re: poděkování01:34:28 16.02.2015
clovece nesji ten drbohlav z jablonce ? Ja sem taky ...
misakodpovědět 

 I kdyby17:12:38 15.02.2015
Přesně tak nikdy se nesmí ztrácet naděje. Hezky sepsaný.
Steveodpovědět 

 Hezký!23:06:58 15.02.2015
Fajn článek...tak ať je to furt lepší a lepší!
MModpovědět 

 Super článek!23:36:43 15.02.2015
Podobné články ještě drží lezce.cz nad vodou.. Měli jste z prdele kliku, tak přeju brzké úplné uzdravení!!
JJodpovědět 

 komin navratu01:33:26 16.02.2015
ezl jsem to pred triceti lety a byl to boj o holej !
misakodpovědět 

 Klobouk dolu10:52:47 16.02.2015
Ahoj. Klobouk dolu před lehkostí s jakou to píšeš a prožíváš. Já jsme dva a půl měsíce po zlomenině hlezna na boulderu a tak ti docela rozumím. Jsou chvíle, kdy je to sranda a výzva a pak chvíle, kdy mně docela zatrnulo. Například když mi sundaly sádru a vykoukla oteklá, rudá, loupavá noha sedmdesátníka :-). Ostatně tvé fotky jsou dost ilustrativní. Neztrácet naději a vhodně kombinovat náročnost na sebe, rhb atd. s trpělivostí... Můžu se zeptat, jak šel začátek lezení? Nejen autora článku, ale všech co mají zkušenost. Zatím nemůžu stát na špičce, tak váhám.
Bobrodpovědět 
 Re: Klobouk dolu11:57:09 16.02.2015
To Bobr .. K lezení jsem se odhodlal poměrně brzy, protože jeden z důležitých rehabilitačních cviků je právě stoj a chůze po špičkách. Akorát to chce velké stupy a moc to nekroutit do boku.

Pro mě byl spíše obrovský problém v nevědomosti doktorů. V celém česky psaném internetu není ani zmínka o léčení a rehabilitaci, když máš zlomené oba kotníky. Jeden jo ale dva ne. Všechno jsem si musel vyzkoušet sám. Doktoři říkali: "Já nevím skuste". Navíc taky nejsem nejmladší a furt jsem od nich slyšel jen samé skeptické závěry. Když to vezmu kolem a kolem, tak po operacích už moc nepomohli, jen kontrolujou rentgény, jestli tam není něco blbě. Všechno ostatní si řeším sám, podle toho jak moc mě bolí nohy po dané aktivitě.

Hodně mi pomohlo plavání, resp. bazén. Voda nadnáší a tam jsem dělal své první kroky i když jsem ještě nesměl chodit, a pak to kolo. To jsem taky mohl do systosti i na vozíčku. Jakmile jsem našel způsob jak se po čtyřech vydrápat na rotoped, tak to bylo fajn. Rotoped a telka, moji dobří kamarádi :)

Kdyby jsi chtěl nějaké osobní rady, tak těch mám plné kapsy, napiš na email.
Aldoodpovědět 
  Re: Klobouk dolu18:20:53 18.02.2015
Horám zdar.Volám sa Ondrej a som z pod Tatier.Práve som po operacii kotnika.7.2.2015 som v Bielovodskej doline upadol pri lezeni a zlomil ho dost vazne.Roztrieštena zlomenina.Teraz som sa dostal k tvojmu članku a nusim povedať že je velmi inšpirujuci.Tak želám vela zdaru,hlavne nohe...nech to je opäť ako pred tým.Dúfam že sa mi podari to dostať do normálu.Budem sa mohol sem tam opítať ako na to a poradiť?Vopred Ďakujem...Ondro z pod tatier...
Ondroodpovědět 
   Re: Klobouk dolu19:03:30 18.02.2015
Kdykoliv napis na mejla. Jak jsem psal, rad mam plne kapsy.
Aldoodpovědět 
 Re: Klobouk dolu13:12:04 16.02.2015
mi pomohla studená voda až ledová, a rozumná zátěž. hned jak vyndali dráty ( po třech měsících), tak sem lezl. samozřejmě na tom lepším konci. největší problém je rozcvičit achilovku... jo a nejlepší rehabilitace na posílení svalů, vazů a šlach kolem hlezna je lezení spár (doktor mě chválil, a prý jak sem to dokázal tak rychle rozcvičit). a jak říká aleš, kolo je skvělé a prý i inlajny...tak srůstání zdar.

bidloodpovědět 
  Re: Klobouk dolu15:37:29 16.02.2015
No, doporučovat bobrovi lezení spár jako ideální rehabilitaci zavání průšvihem :)
Držím palce, ať je co nejdřív všechno v pořádku.
P(iškot).odpovědět 
   Re: Klobouk dolu16:26:30 16.02.2015
To jo :-) Určitě by od věci nebyly Priessnitzovo metody podchladit - ohřát atd. Já měl jen drobnosti a na ty se mi osvědčilo "hýbat s tim a nesmí to (moc) bolet.
odpovědět 
   Re: Klobouk dolu18:57:00 16.02.2015
rehabilitace ve známém a přívětivém prostředí urychluje rekonvalescenci a umožní včasnější zařazení pacoše do výrobního procesu.
bidloodpovědět 
   Re: Klobouk dolu08:36:29 17.02.2015
Díky, jen aby nedošlo k mejlce. Nejsem endemický druhu Bobra spárového žijící nedaleko Turnova. Shoda jmen - ten druhý je holt slavnější :-). Jinak k radě jít jako rhb zlomeného kontíku lézt spáry - no nevím, nevím...
Bobrodpovědět 
    Re: Klobouk dolu12:40:39 17.02.2015
ne hned, po čase, až budeš normalně chodit, ja sem čtyři roky po uraze, rok po posledni operaci a furt to neni ono a nikdy nebude...lézt se stím dá
bodpovědět 

 Díky11:47:37 16.02.2015
Díky za inspirativní článek. Ať se daří!
Martinodpovědět 

 srůstej Aldo12:47:45 16.02.2015
Zdarec Aldo, pěkný článek, čoveče, i když mám při jeho čtení husí kůži. S radostí vzpomínám naše polezení v Zelené dolině. Od té doby jsme se v podstatě neviděli a o tvé příhodě jsem zaslechl od kluků, kteří byli tehdy s námi.
Já měl převrácené jedno hlezno, utržený deltový vaz a rotačně zlomenou lýtkovou kost - takže hodně slabý odvar tvé diagnózy. Souhlasím plně s tebou, že doktoři moc nepomůžou a v podstatě jsem šel stejnou cestou jako ty - tzn. bazén a pak hned kolo. Dnes už v podstatě nevím, že jsem nějaký úraz měl. Snad jen, když uběhnu nějaký delší úsek, tak se to ozve.

Na závěr. Aldo, já věřím, že s tvým odhodláním a sebezapřením se do té stěny vrátíš a pustí tě až na vrhchol! Drž se a srůstej!
Marek
marazzodpovědět 

 Kotník15:27:15 16.02.2015
Ahoj, pěkný článek. Já jsem taky po úraze kotníku. Na sleklajně jsem špatně došláp na zem a byl z toho těžce podvrtlý kotník, natažené vazy a šlachy, měsíc sádra, rehabky atd. Taky jsem to rozjížděl na kole atp. Lézt jsem začal asi po dvou měsících a možu říct, že to jenom prospělo.Ted´ to bude 3/4 roku od urazu a už jsem začal aj pomalu běhat ale noha se furt braní, má nezdravou barvu a natéká. Ale to jsou kotníky je tam hodně věcí co se može pokazit. Co možu poradit, tak hlavně na to nespěchat dát tomu čas, ledovat to a před zátěží kvalitní stretching.
Hodně zdaru a trpělivosti při léčení.
Štikaodpovědět 

 kotníky jsou cejtit po námaze?19:11:48 16.02.2015
co takhle umejt a vzít čistý fusekle ?!
(sorry, nemohlo jsem si pomoct, to je taková stará votřepaná trempská průpovídka. pochopitelně držím palce)
Lukas B.odpovědět 

 Nápodobně20:41:40 17.02.2015
Dobrá zpověd. Podobně jsem si v roce 2000 zlomil stehení kost v Tatrách a pak se 9 měsíců vracel zpět do lezeckého i normálního života. Nakonec si myslím, že mě ten úraz pomohl a nakopnul mě ke spoustě životních rozhodnutí.
Pekiodpovědět 

 dobree20:57:29 17.02.2015
Zdravim,nebyl jsi dneska náhodou v Malenovicích na svahu? Myslim,ze jsme spolu jeli na vleku a bavili se (ten instruktor z lyzarske skoly). Já měl podobny uraz,pad ze skaly,roztristene hlezno a nasledne dvě operacr.dodnes to není v pořádku a bylo Mé to bude každém kroku,na lyžích taky zadna hitparada,takzr gratulace ze se ti to spravilo.pokud jsem si že spetl,sory,ale I tak přeji zdravi
 tasmansky.certodpovědět 

 pozdrav15:39:40 18.02.2015
čau, jsem rád, že se ti tvůj optimistický přístup vyplácí a že ses z nejhoršího takhle vyhrabal. Tak se těším na viděnou na jaře - ať už v Krasu nebo někde jinde...
 marenaodpovědět 

 Kotníček10:44:40 25.02.2015
Dík za podporu,jsem rád za tvůj příběh.Já též po fraktuře hlezna.Také jako ty se začínám radovat z pohybu - zatim pouze o berlích.Ale dupu,měsíc po sundání sádry prochozený 4 gum.špunty cca 200km.V mezích možností cvičím, nejen RHC.Když mě to neba zajdu i na pivo.Prostě žiju!Všem se stejným problémem přeju brzké uzdravenííí.Cvičte i když máte splín jako někdy i já.Vyplatí se to,at se třeba v létě někde potkáme.Třeba i na laně. Zdravim všechny fajn lidičky.Ahoooj CUKR
CUKRodpovědět 

 Díky!13:24:27 08.03.2015
Dík za super článek, za rady a naději, co dáváš ostatním!
Petrodpovědět 

 KOTNÍČEK08:42:46 18.03.2015
AHOJ JEN CHCI PŘIPOJIT. TROMBOZA SE NAKONEC PO 3 MĚSÍCÍCH ODEHRÁVÁ. NECHÁPU TO, CVIČIL JSEM OPRAVDU POCTIVĚ. PŘI NOŠENÍ SÁDRY JSEM MĚL ASI PO 2 TÝDNECH VELKÉ BOLESTI. BYL JSEM U DOKTORA, ŽE PRÝ JE TO V POŘÁDKU A MÁM SI VZÍT PRÁŠEK. TROMBOZA JE STARŠÍHO DATA A V PODKOLENÍ JAMCE. MYSLÍM ŽE NEJSEM DALEKO OD PRAVDY ŽE ZA TO MŮŽE ŠPATNĚ UDĚLANÁ SÁDRA. TAK ŽE ASI BACHA NA TO.
CUKRodpovědět 

 Foto dne:

Eiertanz, Grail
 Databáze cest:
Všechny cesty (187615)
Top cesty v ČR
Top bouldery v ČR
Nejnovější cesty:
Trikeriotisa 6+ Anavra
Epikouros 7 Anavra
Tike Saab 7- Anavra
Paichnidia Anemou 7- Anavra
Sindromo Sterisis 6c Kofi
Nově komentované:
Čarodějův Učeň 8- Kotýz
Rozvodové Řízení 8 Kotýz
Rozvodové Řízení 8 Kotýz
Stará Cesta II Prachov
Sphynx 7 Hohe Wand

 Nově v diskusi:
Re: Terka je bůh | Re: Terka je bůh | Re: Terka je bůh | Re: Terka je bůh | Re: Terka je bůh | Re: Terka je bůh | Re: Terka je bůh | Re: Terka je bůh | Re: Terka je bůh | Re: Terka je bůh |

 Nové komentáře:
Re: Cesta na S | Re: překlepy nevadí | Re: Bokem | Re: Cesta na S | Re: Progresivní nálepkovač | Re: Zoufalství progresivistů | Re: Cesta na S | Re: Nepřechylování je projev progresivismu | Re: Cesta na S | Re: Komunita horolezců výstup neuznává |

 Kde to vře:
Secret Spot Bouldering 2025 (76)
Alžběta Rott vystoupila na Manáslu (8163 m) (71)
MČR v boulderingu (68)
Mára Holeček a Radek Groh vyrazili do Nepálu na Cho Oyu (8188 m) (18)
Petice proti stavbě hotelového komplexu v Adršpachu pod Křižákem (13)
Adam Ondra vyhrál Rock Master Duel 2025 (11)
Wetterhorn - 3690 aneb traverz k pohledání (10)
Rock Master KO boulder vyhráli Yannick Flohé a Janja Garnbret (7)
MČR v boulderingu - semifinále a finále (6)
XXIII. Mezinárodní festival outdoorových filmů (4)

 Nově v inzerci:
Scarpa F1, vel. mondo 300 | Prodám goretexovou bundu Revolution Race | lezečky | Skyhook | Lyže Francie leden 26 | Dvě bouldermatky zdarma | Dětské lezečky Simond | Expresky | Lezečky Evolv Zenist Pro LV vel. 44 | Singingrock Rama |

 Anketa:
Jaký film na Fesťáku 2025 je nejlepší?
 1000 Miles Adventure 2024 
 1442 
 50 dní v divočině 
 989 
 Alter Traum. Příběh nejstarší desítky na písku 
 1272 
 Andrea 
 1034 
 Ashima 
 843 
 Barkley Marathon 
 869 
 B.I.G. - světové prvenství 
 906 
 ESSENCE: Story of Johnny Dawes 
 802 
 Gálfy - Horský život 
 759 
 Jak se staví ledovec 
 745 
 JAMES - Století nad oblaky 
 1072 
 Kupkolo.cz MTB Trilogy 2024 
 887 
 Lezci z Manína 
 901 
 Nespoutaný živel - deset let terapie dobrodružstvím 
 797 
 Operace Nos 
 903 
 Plamen nikdy nezhasne 
 793 
 Pohlednice z konce světa 
 1030 
 Pomíjivost ledu 
 769 
 Reel Rock: Jezdci v bouři! 
 808 
 Reel Rock: Smrt padouchů 
 812 
 Rhapsodia Corcontica 
 791 
 Sama 
 958 
 Šampioni zlatého údolí 
 897 
 S lyžemi v oblacích 
 1045 
 Tenaya Traverse Challange 
 874 
 Tenkrát na východě 
 1042 
 Velká alpská silnice - 73 
 833 
 Za oponou velehor 
 1022 
 Zápasník Dee Dee 
 877 
 Životní výprava 
 908 

 Návody:
Jak psát na lezce ...
Lezecké mapy

 Partneři:
Treking.cz
Hledáte si pěkné ubytování v ČR na Váš výlet či dovolenou? Vyberte si na webu MegaUbytko.cz v sekci chaty a chalupy pronájem. Pokud plánujete cestovat na Slovensko a potřebujete ubytovanie na Slovensku, ty nejlepší ubytovací zařízení, chaty, chalupy, roubenky naleznete na stránce chaty na prenájom.
Na webu NaVylet.cz objevíte pestrou paletu turistických cílů a tipů na výlet napříč celou Českou republikou. Nechybí ani oblíbené lezecké oblasti jako Český ráj s pohádkovými skalními věžemi či dramatické Labské pískovce, které lákají dobrodruhy i horolezce z celé Evropy.

 lezec  diskuse  ankety  odkazy  průvodce  fotky  video  *rss*  ochrana osobních údajů       ceník reklamy Energy Cloud   NetPro systems, s.r.o.